川东北首例!北京安贞医院南充医院通过Ozaki手术为患者重塑心脏“阀门”
2025年03月28日 14:27:07 来源:四川新闻网
四川新闻网-首屏新闻
近日,首都医科大学附属北京安贞医院南充医院·南充市中心医院(以下简称“北京安贞医院南充医院”)心脏大血管外科团队,成功为一名30岁的主动脉瓣重度狭窄患者实施了川东北首例Ozaki手术。这标志着医院在心脏瓣膜修复领域取得了新突破。
患者郑先生一年来胸闷不适,近日到北京安贞医院南充医院就诊。经心脏彩超检查,医生发现其主动脉瓣重度狭窄【主动脉瓣上流速(Vmax):425cm/s,Max PG:72mmHg,mean PG:42mmHg】、主动脉瓣二瓣化畸形(图1)。考虑到郑先生年轻且无手术禁忌症,手术治疗成为必然选择。

图1
然而,主动脉瓣重度狭窄在国内外绝大多数医院通常只能采用人工瓣膜置换术。但这种手术术后患者需要终身服用华法林进行抗凝,不仅长期生活质量明显受限制,且出血和血栓风险也相对较高。因此,郑先生迫切希望能实施瓣膜修复,以避免人工瓣膜置换手术。
综合评估后,心脏大血管外科团队决定为其实施Ozaki手术。首都医科大学附属北京安贞医院派驻南充医院副院长张海波介绍,主动脉瓣是人体左心室和主动脉之间的一道能进不能出的单向“门”,它关乎着心脏——身体的发动机能不能顺利将血液运送到全身。
主动脉瓣膜成形Ozaki手术能保留完整的主动脉瓣环结构,医生使用患者自体心包或专用的牛心包补片制作三个主动脉瓣瓣叶,并通过加强缝合的方式牢固地固定在自体瓣环上。这个手术的亮点,就是利用患者自己身上的“零件”给心脏安装一个全新的“阀门”,这个“阀门”会更安全,更耐用。
为何Ozaki手术能成为主动脉瓣疾病治疗的新选择?Ozaki手术有五大优点:极低的再手术率;无需抗凝治疗,Ozaki手术后的生命质量评分(QOLS)较人工瓣膜置换手术有明显的改善;Ozaki手术瓣膜结构显示出更小的跨瓣压差和更优异的血流动力学表现;年轻患者的生存率更优;无瓣环下限,具有成本效益等。
尽管Ozaki手术在治疗主动脉瓣疾病方面优势显著,但这是一项技术要求极高的心脏外科手术,其操作复杂,存在多个技术难点。难点主要集中在瓣叶的精确制作与缝合、术中血流动力学的维持、术后瓣膜功能的实时评估以及团队的高水平协作等方面。这要求手术团队具备丰富的经验、高超的技术和强大的应急处理能力。张海波教授在北京安贞医院多次成功实施过该手术,具有丰富经验,为此类复杂手术提供了可靠的技术保障。
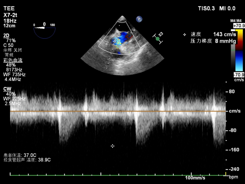
一切准备就绪后,手术按计划实施。由张海波教授主刀,在心脏大血管外科副主任刘仕强、陈旭主任医师、王永杰副主任医师的辅助下,在手术室、重症监护室的密切配合下,团队使用患者自体心包制作成主动脉瓣瓣叶,顺利完成Ozaki手术。术中超声可见自建主动脉瓣开关良好,未见狭窄及反流,Vmax:1.4m/s,Max PG:8mmHg(图2)。

图2
术后,郑先生恢复良好,第二天便能下床活动。后续复查心脏彩超和心电图,各项指标均显示良好。9天后,郑先生顺利康复出院。Ozaki手术的成功实施,不仅为郑先生带来了新生,也为更多类似患者提供了新的治疗选择。
北京安贞医院南充医院心脏大血管外科团队自独立开展心脏手术以来,已在川东北地区率先开展了多项复杂高难度手术,如Bentall+Sun’s手术、分支优先行主动脉全弓置换及支架象鼻术等。
刘仕强介绍,心脏大血管外科团队始终坚持“生命至上”的原则,将患者的利益放在第一位,全心全意为患者保驾护航。自医院与北京安贞医院合作共建国家区域医疗中心以来,已成功平移多项顶级心脏手术技术,实力显著提升,让川陕甘渝边际地区患者就近享受到国内顶级医疗服务。
(供稿/供图:北京安贞医院南充医院)
编辑:刘浩然
![]() |
报料渠道:私信“四川新闻网"微信公众号或拨打互动热线“028-85153399”报料。

